Reversing Cavities
Cosmodent Dental Care
Reversing Cavities
Start from: BDT
Reversing Cavities Naturally & Professionally – Prevent Tooth Decay with Cosmodent Dental Care in Dhaka, Bangladesh
Have you noticed white spots, tooth sensitivity, or early signs of decay? The good news is that not all cavities require drilling or fillings—especially in the early stages. At Cosmodent Dental Care in Dhaka, we focus on preventive and minimally invasive dentistry, helping patients reverse the earliest stages of cavities through professional care and lifestyle changes.
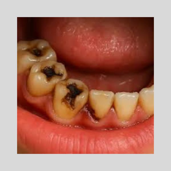
Cavities (also known as dental caries) begin as a process of tooth demineralization—before a hole actually forms. At this reversible stage, prompt action can restore enamel health and stop the decay from progressing.
What Is a Cavity and Can It Be Reversed?
A cavity starts when acids—produced by bacteria in plaque—begin to dissolve the minerals in your tooth enamel. This creates white spots or chalky areas, indicating the early stage of decay. If left untreated, the damage can worsen, leading to permanent tooth structure loss that requires a filling.
🟢 Reversible: Early-stage enamel demineralization
🔴 Non-reversible: Once a hole (actual cavity) forms in the enamel
At Cosmodent Dental Care, our goal is to catch decay early and help patients reverse or halt the process naturally—avoiding the need for drilling whenever possible.
Signs of Early Tooth Decay
White or brown spots on teeth
Mild sensitivity to sweet, hot, or cold foods
Rough texture on enamel
No pain (yet)—which is why regular checkups are vital!
How We Help Reverse Early Cavities at Cosmodent
🦷 Comprehensive Dental Exams
Our dentists use magnification, digital X-rays, and caries detection tools to identify early demineralization before it becomes a cavity.
💧 Fluoride Treatment
Professional fluoride varnishes or gels strengthen enamel, making it more resistant to acid attack.
🧪 Remineralization Therapy
We use remineralizing pastes containing calcium, phosphate, and fluoride (e.g., MI Paste, GC Tooth Mousse) to rebuild the mineral content of weakened enamel.
🪥 Oral Hygiene Coaching
We teach you proper brushing, flossing, and diet habits to reduce sugar intake and bacterial buildup.
🛡️ Dental Sealants (for children and teens)
Sealants are applied to deep grooves in molars to prevent bacteria from settling and causing decay.
🦷 Saliva Flow Support
We address dry mouth, which impairs your natural ability to neutralize acids and remineralize enamel.
What You Can Do at Home to Reverse Cavities
🪥 Brush Twice Daily with Fluoride Toothpaste
Use a soft-bristled brush and avoid aggressive scrubbing.
🍽️ Limit Sugary and Acidic Foods/Drinks
Sodas, juices, and sweets promote bacterial acid production.
💧 Drink More Water
Especially after meals, to rinse away sugars and acids.
🦷 Chew Sugar-Free Gum with Xylitol
Xylitol helps reduce harmful bacteria and stimulates saliva.
🛌 Avoid Snacking Before Bed
Food residue left overnight increases cavity risk.
🥛 Include Calcium and Phosphate-Rich Foods
Dairy, leafy greens, and nuts support enamel health.
Can Children’s Cavities Be Reversed?
Yes—early enamel demineralization in children is highly reversible when treated early. At Cosmodent Dental Care, our pediatric dentists provide:
Fluoride varnish treatments
Dental sealants
Diet counseling for parents
Fun, kid-friendly oral hygiene education
When Reversal Isn’t Enough
Once the decay has penetrated the enamel and a cavity forms, it cannot be reversed. In these cases, we offer minimally invasive fillings using tooth-colored materials that blend naturally with your smile. Regular checkups help us detect early signs and avoid unnecessary drilling.
Why Choose Cosmodent Dental Care in Dhaka?
✅ Early Detection Experts – We use advanced technology to spot cavities before they become serious
✅ Preventive Focus – We aim to protect and preserve your natural teeth
✅ Gentle Pediatric and Adult Care – For patients of all ages, from children to seniors
✅ Affordable Treatments – Competitive pricing for all preventive and restorative services
✅ Patient Education First – We empower you to take control of your oral health
Book Your Dental Checkup & Cavity Risk Assessment Today
Stop cavities before they start. Visit Cosmodent Dental Care in Dhaka, Bangladesh for expert, preventive dental care. Whether you’re dealing with early signs of decay or want to avoid cavities altogether, we’re here to help you maintain a healthy, beautiful smile—for life.
SEO Keywords:
Reversing cavities Dhaka
Early stage tooth decay treatment Bangladesh
Remineralization therapy Dhaka
Natural cavity reversal Dhaka
Non-drilling dental treatment Bangladesh
Fluoride treatment for teeth Dhaka
Preventive dentistry clinic Dhaka
Dental sealants for kids Dhaka
